Case Studies

Braces Treatment

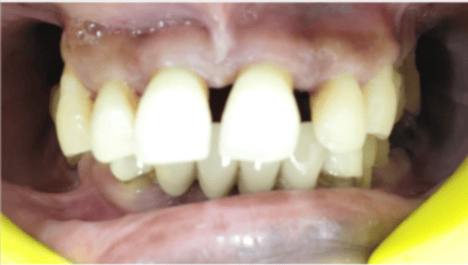
Zirconia Bridge

Single Tooth Implant

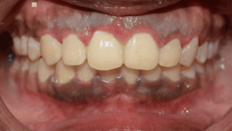
Full Mouth Rehabilitation

Complete Denture

Call Now Button